BLOG

未分類

監修医:矯正歯科医 森本 洋孝


森本洋孝 矯正歯科医


2021年4月1日より、大阪心斎橋MA矯正歯科は移転を行い、新医院にて診療を開始しております。
すでに当院でを開始されている患者様には公式LINEにてお伝えさせていただいております。道順につきましては、詳しくはこちらをご覧ください。

歯並びについて:八重歯編歯並びついて:開咬編歯並びについて:叢生(歯のガタガタ)編歯並びついて:受け口編と歯ならびシリーズを続けておりましたが、前回より具体的な治療法をお送りしております。
前回は「マウスピース型矯正装置による矯正治療における遠心移動について」を投稿させていただきました。詳しくはこちら

今回は、マウスピース型矯正装置による矯正治療におけるIPR(ディスキング)についてお話しさせていただきます。

【目次】
IPR(ディスキング)とは
IPR(ディスキング)の目的は 予後は良いのか
IPR(ディスキング)を用いる矯正治療が選択可能な患者様は
最後に

IPR(ディスキング)とは

歯の歯の間に隙間を作るために、隣在する歯を部分的に削ることをIPR(ディスキング)といいます。
IPRとは略語で、正しくは正式名称は「inter-proximal reduction」と言います。
inter-proximal=隣接の reduction=削減 で隙間を作るということです。


歯にやすりをしています


患者様にお伝えする際には、「歯と歯の間に隙間を作る」とか「歯と歯の間にヤスリがけをする」とか「歯を少し小さくする」ということが多く、当院の患者様、また他院含め矯正相談など行かれた方も、耳にしたことがあるかもしれません。
歯を小さくすることによってスペースを作り、歯並びがガタガタになっている部分を並べていきます。
当院での処置の一つに、歯にやすりをかけてIPR(ディスキング)を行います。

IPR(ディスキング)の目的は 予後は良いのか

目的は重複しますが、歯を小さくすることでスペースを作ることで歯を並べるスペースを作っていきます。
歯並びがガタガタになっていることを「不正咬合」と言いますが、成り立ちの原因として

歯の大きさ>歯を並べるスペース

がそもそもの原因となります。
様々な歯並びの方がいらっしゃいますが、特定の歯並びだと歯が大きいなどの差は見られず、性別や民族間においても差は見られません。
もともと歯並びが良い方の特徴として歯が横幅が小さくて厚みがあるという特徴があることが論文で発表されています。
上記のことからも、大きさとスペースの不調和を是正し、歯並びの良い方の形態に近づけることは理にかなった行動と言えます。


歯列不正や性別民族間で歯の大きさに差がないという論文です


歯並びが元々良い方は、歯の幅が小さく厚みがあるという論文


歯と歯が接触する部分(コンタクト部分)を削るわけですから、そこから虫歯や歯周病のリスクが上がるのではないか、という懸念もあるかと思います。
IPR(ディスキング)を行った患者様と、IPR(ディスキング)を行わなかった患者様を矯正治療後10年経過を見た論文があります。結果としては、歯周病、虫歯の原因にはならなかったという結果になっております。さらに、IPR(ディスキング)を行った患者様の方が矯正治療後の後戻りが少なかったという報告がされています。
コンタクト部分が点で当たっていた部分が削ることで面で当たることで摩擦を生み戻りにくかったのではないかと推察されます。



上記のように、歯を削って歯のサイズを適正化することは、虫歯や歯周病のリスク要因にならずに後戻りが少ない処置です。

ただ闇雲に削っていいわけでもなく、しっかりと治療計画を立てて適切なタイミングで処置を行う必要があります。ですので、初回から削ることもあれば治療途中で削る、追加修正の際に削るなど、いつ行うから正しいというものは存在しません。
IPR(ディスキングを)タイミングなどにつきましては、診断時や治療中に必ずご説明いたします。

IPR(ディスキング)を用いるインビザライン矯正が向いている患者様は

遠心移動のページでもお伝えしましたが、歯を並べるだけではなく、しっかり噛める、機能する歯並びをご提供することが何より重要です。
その基準として、犬歯関係(前から数えて3番目の歯です。外にはみ出ていると八重歯と言われる歯です。)をきれいに揃えるためにどのような移動計画を立てるのかを考えております。


遠心移動と組み合わせで併用したりすることでより効率的に治療を行えるようにしたりしますが、「IPR(ディスキング)だけ」と限定するのであれば、奥歯の噛み合わせが適切な位置にあるので前歯だけ歯を小さくすることで矯正治療を行う患者様に向いているといえます。
しかし前歯の歯列不正の原因が、奥歯からきていることが非常に多いため、前歯だけはお手軽かもしれませんが原因除去ができていない可能性もあります。



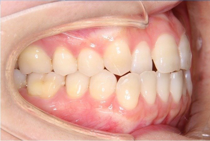
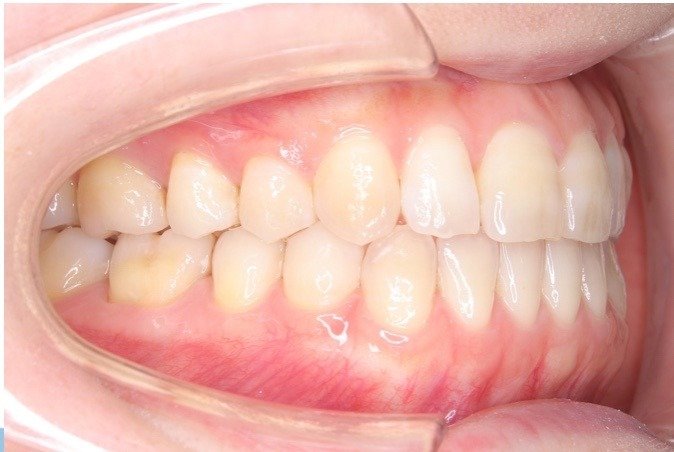
IPRで排列することができた症例です。

最後に

「歯を削ります」といきなり言われても「えぇっ?!」という反応がほとんどだと思います。

治療計画をしっかり立てて根拠をもとに適切なタイミングで介入できればマウスピース型矯正装置による矯正治療をよりスムーズに、また矯正治療後も安定したお口の中を保つことができます。

IPR(ディスキング)をご希望されない患者様におかれましても、行わない治療計画を立案いたしますので、お気軽にお申し付けください。

当院は初診矯正相談をで行っております。
口腔内スキャナーも導入され、より高速でスキャンが行えるようになりました。いつでもご相談ください。

無料メール相談はこちらから

初回無料カウンセリングはこちらから