マウスピース型矯正装置による矯正治療における遠心移動について

森本洋孝 矯正歯科医
2021年4月1日より、大阪心斎橋MA矯正歯科は移転を行い、新医院にて診療を開始しております。
すでに当院でを開始されている患者様には公式LINEにてお伝えさせていただいております。道順につきましては、詳しくはこちらをご覧ください。
歯並びについて:八重歯編、歯並びついて:開咬編、歯並びについて:叢生(歯のガタガタ)編、歯並びついて:受け口編と歯ならびシリーズを続けておりましたが、今回からマウスピース型矯正装置による矯正治療の具体的な治療法をお話しさせていただきます。
遠心移動とは
歯の後側(奥側)のことを歯科用語で遠心と呼びます。歯を後ろに送ることを遠心移動と呼びます。

遠心に動かしますから、遠心移動といいます。
ワイヤー矯正でもマウスピース型矯正装置による矯正治療でも、遠心移動は治療計画に組み込むことがあるもので、マウスピース型矯正装置による矯正治療の場合はマウスピースに顎間ゴムを併用して遠心移動を行います。
遠心移動はどこまでできるのか
マウスピース型矯正装置を用いた歯のコントロールはどこまで行うことができるのか、という論文があります。
アメリカの矯正雑誌Angle orthodontist Vol 85 No,5 2015に掲載されています。
上顎の遠心移動はアタッチメント(歯に接着させるレジンの突起)を用いて2.5mmまで効率的に遠心移動を達成することができたとこの論文には記載されています。
では論文に書いてる通りで全てできるか、というとそうでもなく、頭部X線規格写真を用いた骨格、歯の特徴、またCTを見て骨がどこまであるのか、智歯はあるのか、、、、患者様の主訴以外にもさまざまな分析項目がありますのでそれらを治療計画に織り込んで患者様一人一人の治療計画の立案が必要です。
遠心移動を用いるマウスピース型矯正装置による矯正治療が向いている患者様は
歯を並べるだけではなく、しっかり噛める、機能する歯並びをご提供することが何より重要です。
その基準として、犬歯関係(前から数えて3番目の歯です。外にはみ出ていると八重歯と言われる歯です。)をきれいに揃えるためにどのような移動計画を立てるのかを考えております。
その考えで行くと、大きく口元の変化をさせる必要がなく、犬歯のズレが少ない場合は遠心移動の対象となり得ます。
また抜歯を絶対に行いたくない患者様も適応となります。(※智歯抜歯が必要となることがあります。)
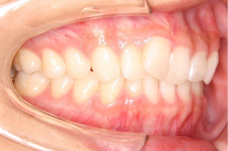
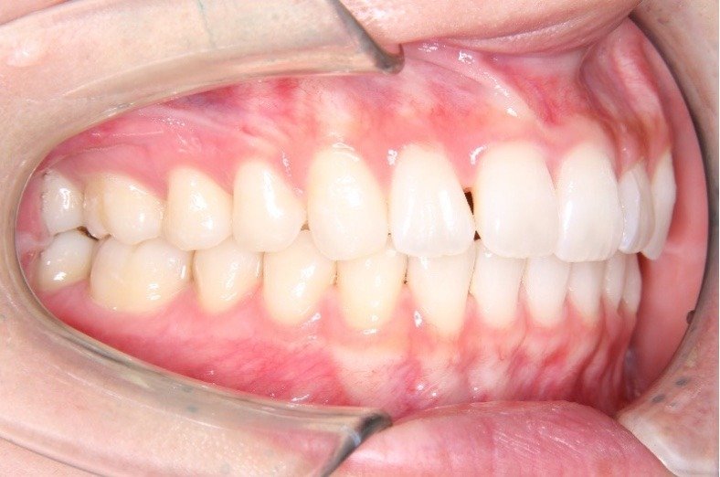
犬歯の位置を遠心移動で後ろに送ることができました。
最後に
ワイヤーであってもマウスピース型矯正矯正装置であっても見た目も綺麗、噛める、長期安定ができるように治療を行うことは変わりません。
それぞれ装置の特性がありますので、得意不得意をしっかり見定めて治療を行う必要があります。
患者様の口腔内によって治療法は変わりますので、お気軽にご相談ください。
当院は初診矯正相談を行っております。
口腔内スキャナーも導入され、より高速でスキャンが行えるようになりました。いつでもご相談ください。
【通常必要とされる治療内容】
マルチブラケット装置やマウスピース型矯正矯正歯科装置による矯正治療
【費用等に関する事項】
当院の場合 440,000~880,000円(消費税込)
【治療の主なリスク・副作用】
① 矯正歯科装置を付けた後しばらくは違和感、不快感、痛みなどが生じることがありますが、一般的には数日間~1、2 週間で慣れてきます。
② 歯の動き方には個人差があり、予想された治療期間が延長する可能性があります。
③ 矯正歯科装置の使用状況、顎間ゴムの使用状況、定期的な通院など、矯正歯科治療には患者さんの協力が必要であり、それらが治療結果や治療期間に影響します。
④ 治療中は矯正歯科装置が歯の表面に付いているため食物が溜りやすく、また歯が磨きにくくなるため、むし歯や歯周病が生じるリスクが高まります。したがってハミガキを適切に行い、お口の中を常に清潔に保ち、さらに、かかりつけ歯科医に定期的に受診することが大切です。また、歯が動くと隠れていたむし歯があることが判明することもあります。
⑤ 歯を動かすことにより歯根が吸収して短くなることや歯肉がやせて下がることがあります。
⑥ ごくまれに歯が骨と癒着していて歯が動かないことがあります。
⑦ ごくまれに歯を動かすことで神経が障害を受けて壊死することがあります。
⑧ 矯正歯科装置などにより金属等のアレルギー症状が出ることがあります。
⑨ 治療中に顎関節の痛み、音が鳴る、口が開けにくいなどの症状が生じることがあります。
⑩ 治療の経過によっては当初予定していた治療計画を変更する可能性があります。
⑪ 歯の形の修正や咬み合わせの微調整を行う可能性があります。
⑫ 矯正歯科装置を誤飲する可能性があります。
⑬ 矯正歯科装置を外す際にエナメル質に微小な亀裂が入る可能性や、かぶせ物(補綴物)の一部が破損する可能性があります。
⑭ 動的治療が終了し装置が外れた後に現在の咬み合わせに合った状態のかぶせ物(補綴物)やむし歯の治療(修復物)などをやりなおす必要性が生じる可能性があります。
⑮ 動的治療が終了し装置が外れた後に保定装置を指示通り使用しないと、歯並びや、咬み合せの「後戻り」が生じる可能性があります。
⑯ あごの成長発育により咬み合せや歯並びが変化する可能性があります。
⑰ 治療後に親知らずの影響で歯並びや咬み合せに変化が生じる可能性があります。また、加齢や歯周病などにより歯並びや咬み合せが変化することがあります。
⑱ 矯正歯科治療は一度始めると元の状態に戻すことは難しくなります。