歯並びについて:叢生(歯のガタガタ)編

森本洋孝 矯正歯科医
歯並びについて:八重歯編、歯並びついて:開咬編に続いて、本日は叢生ついてお話をさせていただきます。
叢生とは
叢生は「そうせい」と読みます。患者様からは、「歯のガタガタ」などで認識されていることが多いようです。

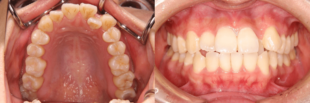
写真❶:下の前歯が1本飛び出しています
写真❶症例情報:
【患者】 20代男性
【主訴】 歯並びのガタガタ
【診断】 叢生
【抜歯の有無】 非抜歯
【治療期間】2年2ヶ月 通院回数18回
【治療内容】親知らずを抜歯した後、マウスピース型カスタムメイド矯正歯科装置(製品名インビザライン 完成物薬機法対象外)を使用して主訴である叢生の改善を行いました。
【費用】88万(税込)
【リスク】矯正歯科装置を付けた後しばらくは違和感、不快感、痛みなどが生じることがあります。
矯正中は矯正歯科装置が歯の表面についているため食物が溜まりやすく、また歯が磨きにくくなるため、虫歯や歯周病が生じるリスクがあります。
歯を動かすことにより歯根が吸収して短くなることや歯肉がやせて下がることがあります。
矯正歯科治療は公的健康保健の適応外の自費治療(自由診療)となります。
上の前歯で、2番目の歯だけ中に並んでいる方も多いかと思います。

写真❷:2番目の歯(側切歯)が中に入り込んでいます
写真❷症例情報
【患者】 20代女性
【主訴】 歯並びのガタガタ
【診断】 前歯部交叉咬合を伴う叢生
【抜歯の有無】 非抜歯
【治療期間】2年2ヶ月 通院回数18回
【治療内容】親知らずを抜歯した後、マウスピース型カスタムメイド矯正歯科装置(製品名インビザライン 完成物薬機法対象外)を使用して主訴である叢生の改善を行いました。
【費用】88万(税込)
【リスク】矯正歯科装置を付けた後しばらくは違和感、不快感、痛みなどが生じることがあります。
矯正中は矯正歯科装置が歯の表面についているため食物が溜まりやすく、また歯が磨きにくくなるため、虫歯や歯周病が生じるリスクがあります。
歯を動かすことにより歯根が吸収して短くなることや歯肉がやせて下がることがあります。
矯正歯科治療は公的健康保健の適応外の自費治療(自由診療)となります。
叢生はなぜできるのか
顎の大きさと歯の大きさの不調和が原因といえます。小さな顎に大きな歯だと歯のガタガタは生じてしまいます。
また大きな顎でも、さらに大きな歯なら、歯のガタガタは生じてしまいます。まとめると以下になります。
歯の大きさ>顎の大きさ
歯の大きさと顎の大きさが適切であったとしても、その歯の生え方によってもガタガタは生じてきます。
顎に対してまっすぐ生えているのであれば綺麗に排列できるのかもしれませんが、微妙に内側に倒れていたり、歯が回転していたり、前向きに生えていたり・・・様々な原因が考えられます。
特に奥歯の微妙な生え方のズレは、前歯に大きなズレとして現れてきます。前歯を排列するために、奥歯の位置から治す必要があることがあるのはそのためです。
叢生のマウスピース型矯正装置による矯正治療とは
不調和が原因なのであれば、大きさを整える必要があります。整える方法の一つに拡大があります。
拡大を考える方向としては前方(唇側)、側方、後方が考えられます。
例として側方と後方についてご説明させていただきます。
どちらの方向に拡大するかは、シミュレーションを用いて診査する必要があります。
例えば、1枚目の写真の症例では、奥歯が内側に入り込んでいるため、側方拡大をすることで歯を並べる場所を獲得します。
内側に入り込んでいるため、側方に拡大する余地がありました。綺麗に排列ができました。
後方に行う場合、拡大というよりは後方移動と表現するほうが適切かもしれません。
後方移動することを矯正歯科用語では「遠心移動」と言います。
遠心移動はマウスピース型矯正装置に顎間ゴムを併用して行います。
遠心移動を用いて綺麗に排列することができました。
写真❸症例情報:
【患者】 20代女性
【主訴】 前歯が出ている
【診断】 上顎前突
【抜歯の有無】 非抜歯
【治療期間】2年7ヶ月 通院回数20回
【治療内容】親知らずを抜歯した後、マウスピース型カスタムメイド矯正歯科装置(製品名インビザライン 完成物薬機法対象外)を使用して主訴である叢生の改善を行いました。
【費用】88万(税込)
【リスク】矯正歯科装置を付けた後しばらくは違和感、不快感、痛みなどが生じることがあります。
矯正中は矯正歯科装置が歯の表面についているため食物が溜まりやすく、また歯が磨きにくくなるため、虫歯や歯周病が生じるリスクがあります。
歯を動かすことにより歯根が吸収して短くなることや歯肉がやせて下がることがあります。
矯正歯科治療は公的健康保健の適応外の自費治療(自由診療)となります。
最後に
写真のように、一概に歯のガタガタと言っても細かくみていくと歯の動かし方が変わってきます。
スペースを確保できる余地が多いのであれば、抜歯をせずに矯正治療が可能なこともあります。
得意不得意はありますが、マウスピース型矯正装置による矯正治療だからできる、ワイヤー矯正だからできるというものではなく、あくまで矯正装置の一つと捉えて、患者様一人一人の歯、骨格の特徴を捉えて矯正治療をご提供できればと考えています。
当院は初診矯正相談を行っております。
口腔内スキャナーも導入され、より高速でスキャンが行えるようになりました。いつでもご相談ください。