すきっ歯の代表的な5つの治療法のメリット・デメリット、期間・費用を徹底比較
【監修医:矯正歯科学会 認定医&指導医 増岡 尚哉】
 
見た目に大きな影響を与える”すきっ歯”。
実は、歯並びの問題の中では比較的治療がしやすく、選択肢も多いです。
補綴物による短期治療、矯正治療、保険適用となるものもあります。一人ひとりに合う、治療法について解説します!
【目次】
1、すきっ歯の原因とは?
 先天性(生まれつき)の原因 
  ●歯の大きさ
  ●歯の本数
  ●上唇小帯異常
 後天性の原因
  ●癖・習慣
  ●歯の大きさと顎のバランス
  ●歯周病
3.すきっ歯の代表的な治療法5選
 ①セラミッククラウン
 ②ラミネートベニア
 ③ダイレクトボンディング
 ④ワイヤー矯正
 ⑤マウスピース矯正
4.治療法を決める時のポイント
 ①メリットよりリスクを重視する
 ②費用と治療期間のバランスを考える
 ③治療法によっては対応できない症例もある
5.すきっ歯の治療は保険適用できる?
6.インビザラインにおけるすきっ歯治療
7.すきっ歯でお悩みの方は当院の無料カウンセリングをご利用下さい!
すきっ歯の原因とは?
先天性(生まれつき)の原因
歯の大きさ
生まれつき歯の大きさが小さく、円錐状・蕾状の形をした歯を矮小歯(わいしょうし)といいます。
矮小歯の様な歯があると、すきっ歯になりやすいです。
歯の本数
先天性欠損があったり、歯が歯茎の中に埋まったままの状態になっていると、すきっ歯の原因となります。
上唇小帯異常
上の中央前歯の上には、上唇小帯(じょうしんしょうたい)とよばれるスジがあります。
赤ちゃんの時は、太く・長く存在しますが問題ありません。
永久歯に生え変わる時期にも太く・長く存在していると、すきっ歯の原因となることがあります。
後天性の原因
癖・習慣
長期の指しゃぶりも原因の1つ。吸った指が、歯を内側から押してしまい、歯が外側に広がってしまうからです。
指しゃぶりだけでなく、舌で前歯を押しつける癖でも同様のことが起きます。
歯の大きさと顎のバランス
”顎の大きさに対して小さい歯”・”歯に対して大きい顎”等、バランスの乱れも原因となります。
歯周病
歯周病に罹患すると、歯を支えている歯槽骨(しそうこつ)が歯周病菌によって溶かされ、歯の揺れを引き起こします。
結果、歯間にスペースが生まれてしまいます。
すきっ歯の代表的な治療法5選
すきっ歯の代表的な治療には、補綴治療(①セラミッククラウン②ラミネート③ダイレクトボンディング)と矯正治療(④ワイヤー矯正⑤マウスピース矯正)とがあります。
①セラミッククラウン
歯を削って形を整え、セラミックを被せる治療方法。
▼対応症例:歯の形態を大きく変更する必要がある。白い歯をご希望の方。 
      歯の大きさや傾きを修復し、バランスの取れた前歯することが可能
▼治療方法
1.治したい歯の傾き・ねじれ等を考慮し、歯を削って形を整え土台を作る。
(この時に、歯の色も確認し色合わせも行います。)
2.セラミックを被せるまで仮歯で過ごす。仮歯にも意味があり、
 見た目やかみ合わせに違和感がないか確認。(仮歯の色は最終形とは異なります)
3.仮歯で過ごしてみて、問題がなければ出来上がったセラミックを被せる。
▼治療期間:来院回数2〜4回。期間1〜3ヶ月(修正回数などによって個人差あり)
▼金額:セラミック1本の相場 8〜18万円
<メリット>
●歯並び・歯の形・歯の色をご自身で選べる
●矯正治療に比べて治療期間が短い
<デメリット>
●歯を削る(歯の寿命が短くなることもある)
●セラミックが欠けたり、取れることがある
②ラミネートベニア
歯面を0.5㎜程削り、セラミックを貼り付け隙間を埋める方法。
セラミッククラウンより歯を削る量が少なく済む。
▼対応症例:かみ合わせや咬合力、歯の傾斜などに大きな問題がない場合
           (使用するセラミックが薄いため、大きく歯の形を変える場合は適応外)
▼治療方法:歯の削る量が異なるだけで治療の流れはセラミッククラウンと同様
▼治療期間:来院回数2〜4回。期間1〜3ヶ月(修正回数などによって個人差あり)
▼金額:歯1本につき相場 5〜15万円
<メリット>
●歯の色、形をきれいに、白くできる
●セラミッククラウンより歯を削る量が少ない
●矯正治療と比べて安価
●矯正治療に比べて治療期間が短い
<デメリット>
●歯を0.5㎜程であっても削る必要がある
●材質が薄いので欠けたり、取れることがある
③ダイレクトボンディング
プラスチックの材料で歯の隙間を埋める方法。
歯の表面に材料をつけるので歯を削らなくて良い。
▼対応症例:離開量が2㎜以下。歯の位置に大きなズレがない場合
▼治療方法
 1.プラスチック材料を接着させるために表面処理を行う
 2.プラスチック材料を充填し光をあてて硬化させる
 3.形態修正・研磨をして終了
▼治療期間:1回で終了
▼金額:歯1本につき相場 3〜5万円
<メリット>
●治療が1回で完了する
●歯を削らずに治療ができる
<デメリット>
●離開量が2㎜以下、大きなズレがない等の適応範囲が狭い。
●経年劣化し、変色する
●医師の技術力が仕上がりに大きく影響する
④ワイヤー矯正
ブラケットと呼ばれる器具を歯に接着させ、ブラケットにワイヤーをつけ、歯を移動させる矯正治療のこと。
すきっ歯のみを治す部分矯正と全体の歯並びも含め、すきっ歯を改善させる全体矯正と2種類あります。
▼対応症例:①②③が対象外の方。すきっ歯を根本的に治療をしたい方
▼治療方法
 1.歯の全体の状態の検査(レントゲン、歯型、口腔内・顔写真等)・診断を行う
 2.診断・治療方針のお話、決定
 3.矯正装置(ブラケット、ワイヤー)を装着する
 4.1ヶ月〜2ヶ月に1回来院して頂きワイヤー調整を行う
▼治療期間:部分:3ヶ月〜1年半
      全体:2〜3年(個人差あり。3年以上かかる場合もあります。)
▼金額:装置代▷40〜100万円 調整料▷3000〜1万円
<メリット>
●適応範囲が広く、さまざまなすきっ歯に対応可能
●大きく歯を削る必要がない
●他の矯正治療より安価
<デメリット>
●①②③の治療方法よりも治療期間が長い
●固定式装置なので歯磨きがしづらく、虫歯・歯周病のリスクが高くなる
●食事が取りづらいことがある
●ワイヤー等の装置が目立つ
⑤マウスピース矯正
一人ひとりに合わせたマウスピースで歯を動かす治療方法。
(マウスピースは1週間〜10日ごとに交換、1日20時間以上つける必要があります。)
▼対応症例:④同様。重度の開咬・受け口・八重歯以外はほとんどが適応
▼治療方法
 1.歯の全体の状態の検査(レントゲン、歯型、口腔内・顔写真等)を行う
 2.専用の機械を用いてスキャニング
 3.矯正シュミレーション(パソコンで治療の仕上がりを確認)
 4.治療期間・治療計画のお話、決定。
 (※マウスピースが医院に届くまで1ヶ月程お時間を頂きます)
 5.マウスピース矯正のスタート
▼治療期間:部分:3ヶ月〜1年
      全体:2〜3年(個人差あり)
▼金額:装置代▷40〜80万円 調整料▷4000円
<メリット>
●目立ちにくい
●取り外しが可能なので食事・歯磨きがしやすい
●ワイヤー矯正に比べて痛みを感じにくい
●金属アレルギーの心配がない
●口内炎等の口腔内トラブルがワイヤー矯正より起きにくい
<デメリット>
●取り外しが可能な分、矯正治療の効果はご自身の頑張り次第となってしまう
●装着中は飲食ができない
治療法を決める時のポイント
①メリットよりリスクを重視する
すきっ歯は、歯並びの問題の中では比較的治療がしやすく、選択肢も多い。
すぐに見た目を改善できる治療は、長期的に見るとリスクも高い。欠ける・取れる…
再治療率も高いです。歯を削る等、歯へのダメージによって歯の寿命も短くなります。
人によって”1番良い治療方法”は変わりますが、せっかく治した歯を失うことのないよう、メリットだけに囚われず、リスクも考えて”自分に1番あった治療法”をチョイスしましょう。
②費用と治療期間のバランスを考える
”補綴治療”と”矯正治療”には費用と治療期間に大きな差があります
”短期治療” ”低価格”という理由から”補綴治療”を選んでしまうと、数年後に再治療による、大きな費用や治療期間が発生してしまうかもしれません。
費用と期間がかかっても、”矯正治療”のように、根本的に改善することで、良い状態を長く保つことに繋がります。
長期的な目線で”費用と治療期間”のバランスを考え、治療法をチョイスしましょう。
③治療法によっては対応できない症例もある
すきっ歯の原因で挙げた、”矮小歯”等、先天的に小さい歯に関しては矯正治療は対象外で、補綴治療のみ対象です。
また、ラミネートベニアやダイレクトボンディングは、強い咬合力が加わるようなかみ合わせ状態だと対応できないため、矯正治療の対象です。
このように治療法によっては対応できない症例、より適した治療法があります。
すきっ歯の治療は保険適用できる?
セラミックによる補綴治療や矯正治療は”審美改善”が目的とみなされます。
”審美改善”は自費診療に当たるため、基本的には保険適用外となることが多いです。
すきっ歯の治療も、”すきっ歯を治し、綺麗な口元にする”という”審美改善”にあたり、残念ながら保険適用外となってしまいます。
しかし、”虫歯治療を目的としたダイレクトボンディング”は保険適用となります。
●虫歯による詰め物の再治療・修復
●虫歯により欠けてしまった歯の修復
等のケースがあります。
”ダイレクトボンディングと虫歯治療を両方行う場合は保険適用されることもある”ということです。
インビザラインにおけるすきっ歯治療
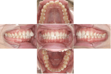
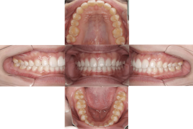
当院で行ったすきっ歯の治療症例をご紹介します。
症例 ① 
●マウスピース 部分矯正 ●23歳 ●治療期間:6ヶ月 ●費用:40万円
- 治療前 -
- 治療後 -
▶︎マウスピースを用いて、前歯の隙間・捻れの治療を行いました。
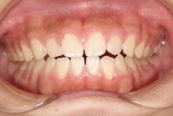
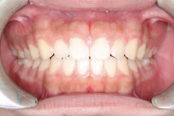
症例 ② 
●空隙歯列を伴う開咬 
●前歯を後ろに下げるために必要な隙間が存在している
- 治療後 -
▶︎隙間を閉じながら上下前歯を後ろに下げ、開咬の改善を行いました。
すきっ歯でお悩みの方は当院の無料カウンセリングをご利用下さい!
当院では、日本矯正歯科学会認定医・矯正指導医が実際に口腔内の状態を確認し、カウンセリング・治療の提案をさせていただきます。
無料カウンセリングでは、
●口腔内診察・写真撮影
●iTero:簡単なシミュレーションを作成し、治療後のイメージをご覧いただきます。
(※iTeroとはインビザライン専用口腔内スキャナーのことです。)
以上のことを実施しております。
また、来院診察以外にもオンライン診療や無料メール相談など様々なご相談方法をご用意しております。気軽に足を運んでいただき、まずはご希望をお聞かせ下さい。
あなたからのご相談をお待ちしております。
 
 
 
