BLOG

マウスピース型カスタムメイド矯正装置(製品名 インビザライン 完成物薬機法対象外)の基礎知識

森本洋孝 矯正歯科医


本日はインビザライン矯正治療におけるIPRについてご説明させていただきます。

【目次】
IPRとは
何のためにIPRを行うのか?
虫歯のリスクは?
最後に

IPRとは

IPR(アイピーアール)とは略語で、正式名称は「inter-proximal reduction」と言います。
interproximal=隣接の reduction=削減 ということで、隣接面(歯と歯の境目)を部分的に削除するということです。
その他の言い方では、
Inter-proximal enamel reduction
Stripping (ストリッピング)
と言ったりします。
患者様にお伝えする際には、「歯と歯の間に隙間を作る」とか「歯と歯の間にヤスリがけをする」とか「歯を少し小さくする」ということが多く、当院の患者様、また他院含め矯正相談など行かれた方も、耳にしたことがあるかもしれません。

何のためにIPRを行うのか?

歯と歯の境目を削る後戻りが出来ない処置なわけですから、理由なく削るということはありません。
目的は

  • 歯と歯の間にスペースを作る
  • 審美的な理由
  • 移動量

が挙げられます。

歯と歯の間にスペースを作る

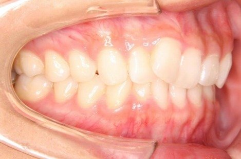
下の前歯に多いですが、歯と歯が重なってガタガタになっている叢生の状態から排列を行う際、歯が並ばないくらい狭いわけですから、拡大を行います。その際は、顎の骨と歯の関係性を考えていきます。
また、予測した治療計画通り動いてもらいたいために、動きを阻害する摩擦が生じても困ります。
そのために、予め歯と歯の間にスペースを作っておいて、スムーズに治療が進むようにスペースを作ります。




下の前歯を、顎の骨の中で無理なく排列することが出来ました


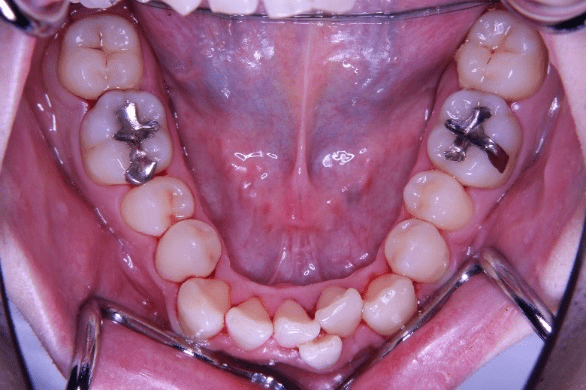
掲載症例について:

【患者】 20代男性
【主訴】 歯並びのガタガタ
【診断】 叢生
【抜歯の有無】 非抜歯
【治療期間】2年2ヶ月 通院回数18回
【治療内容】親知らずを抜歯した後、マウスピース型カスタムメイド矯正歯科装置(製品名インビザライン 完成物薬機法対象外)を使用して主訴である叢生の改善を行いました。
【費用】88万(税込)
【リスク】矯正歯科装置を付けた後しばらくは違和感、不快感、痛みなどが生じることがあります。
矯正中は矯正歯科装置が歯の表面についているため食物が溜まりやすく、また歯が磨きにくくなるため、虫歯や歯周病が生じるリスクがあります。
歯を動かすことにより歯根が吸収して短くなることや歯肉がやせて下がることがあります。

矯正歯科治療は公的健康保健の適応外の自費治療(自由診療)となります。

審美的な理由

患者様の中には歯ぐきが元々薄い方や、治療前に歯が重なっている部分がある方で、矯正治療後に歯茎がついてこないことがあります。その際に歯と歯のコンタクトしている部分を大きくすることで、改善を図ることがあります。




前歯の黒い三角形の改善のためにIPRを行うことがあります。


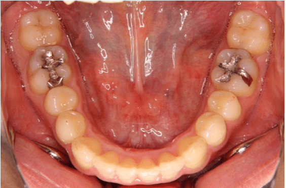
掲載症例について:

患者】 10代女性
【主訴】 前歯のガタガタ
【診断】 過蓋咬合を伴う叢生
【抜歯の有無】 非抜歯
【治療期間】1年8ヶ月 通院回数12回
【治療内容】親知らずを抜歯した後、マウスピース型カスタムメイド矯正歯科装置(製品名インビザライン 完成物薬機法対象外)を使用して主訴である叢生および過蓋咬合の改善を行いました。
【費用】88万(税込)
【リスク】矯正歯科装置を付けた後しばらくは違和感、不快感、痛みなどが生じることがあります。
矯正中は矯正歯科装置が歯の表面についているため食物が溜まりやすく、また歯が磨きにくくなるため、虫歯や歯周病が生じるリスクがあります。
歯を動かすことにより歯根が吸収して短くなることや歯肉がやせて下がることがあります。

矯正歯科治療は公的健康保健の適応外の自費治療(自由診療)となります。

移動量

見た目も機能も美しい場所へ歯を排列できるように治療計画を立てますが、予測した箇所へ歯を動かす実現性(予測実現性)を考えた移動量である必要があります。その際にはと歯の隙間を作って移動量を削減しより実現性を高めることがあります。

虫歯のリスクは?

マウスピース型矯正装置が脚光を浴び始め、それとほぼ同時にIPRという言葉がたくさん聴かれるようになりましたが、元々IPRという処置はワイヤー矯正でも行っておりました。
以前からIPRと虫歯の関係性の論文は書かれてきていますが、「IPRによって虫歯になりやすくなる」という事実は否定されています。[1-3]

1. Jarjoura K, Gagnon G, Nieberg L. Caries risk after interproximal enamel reduction. Am J Orthod Dentofacial Orthop. 2006;130: 26–30.

2. Zachrisson BU, Nyøygaard L, Mobarak K. Dental health assessed more than 10 years after interproximal enamel reduction of mandibular anterior teeth. Am J Orthod Dentofacial Orthop. 2007;131: 162–169.

3. Zachrisson BU, Minster L, Ogaard B, Birkhed D. Dental health assessed after interproximal enamel reduction: caries risk in posterior teeth. Am J Orthod Dentofacial Orthop. 2011;139: 90–98.

最後に

歯並びの問題は、非常にざっくり言うと、「歯の大きさと顎のサイズが合っていない」の一文に集約されると思います。
サイズを合わせるために、顎を拡げるのか、歯を抜くのか…その中でIPRは、歯の大きさを変える手段の一つです。
IPRの歯の削除量は0.2mm〜0.5mmの間で非常に少なく、エナメル質という歯の表層のみに留められます。
(ちなみに0.1mmは1万円札1枚の厚みです)
必要があって行う事ですが、極力削る事を抑える方針で治療計画を立てております。が、中には全く削らない事をご希望される方もいらっしゃいます。その際は、IPRを行わない治療計画を立ててご提示致します。
そのようなご要望がございましたら、当院の初診相談などでお気軽にお申し付けください。
いつでもご予約お待ちしております。

無料メール相談はこちらから

初回無料カウンセリングはこちらから