BLOG

歯並び

森本洋孝 矯正歯科医


歯並びについて:八重歯編歯並びついて:開咬編歯並びについて:叢生(歯のガタガタ)編歯並びついて:受け口編とシリーズが続いておりますが、本日はすきっ歯についてお話をさせていただきます。

【目次】
すきっ歯とは
すきっ歯はなぜできるのか
すきっ歯のマウスピース型矯正装置による矯正治療とは
最後に

すきっ歯とは

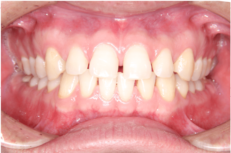
すきっ歯とは、文字通り隙間が空いている歯並びのことを指します。


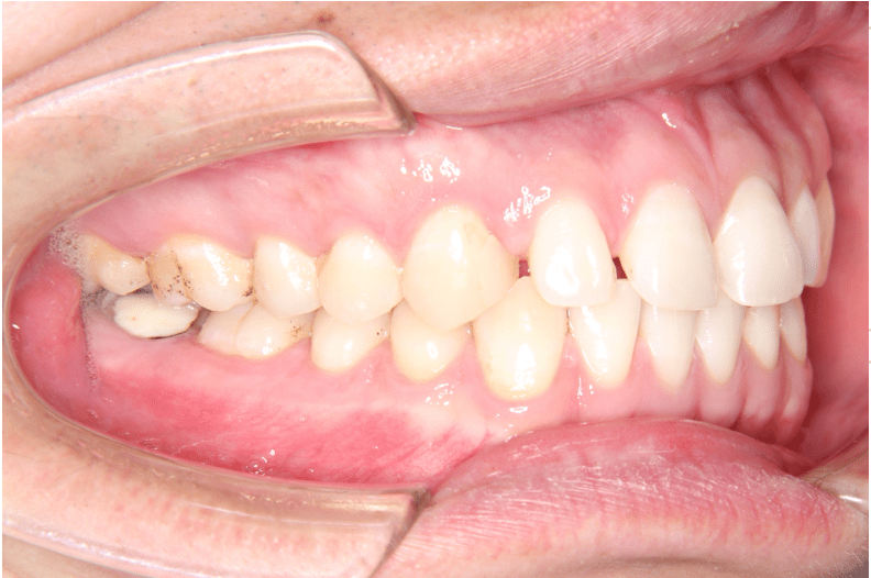
治療前(右)


治療前(正面)


治療前(左)


歯列に隙間が見られます


すきっ歯だと大きな口を開けて笑いにくい・・・かもしれませんが、海外では評価が異なるようです。
フランスでは幸運の象徴と言われていたり、オーストラリアでは富の象徴、アメリカではセクシーと評価されるようです。海外モデルさんでもすきっ歯の方はちらほら見かけます。
日本では八重歯が小悪魔的で可愛いとされていたり、国が異なると評価が変わってくるものですね。(八重歯は海外での評価は良くないです。詳しくはこちら
ちなみにすきっ歯の女性のみを集めたサイトもあるそうです。

すきっ歯はなぜできるのか

すきっ歯は一般的には顎のサイズ(歯を並べられるスペース)に対して、歯が小さい場合起こります。
一般的には、と前置きを置かせていただいたのは、そのすきっ歯の歯の傾きや位置で起きている可能性もあるためです。
それであったとしても以下のように考えて治療計画を立てます。

顎のサイズ>歯のサイズ

なぜ隙間が空いているのかも考えていく必要があります。例えば、噛み合わせがすごく深く、上の前歯が前方(口唇側)に押し出されて前歯が空いているのかもしれません。何かしらの癖があって飛び出ているのかもしれません。(その場合は出っ歯と並行して起きていることになります。)
すきっ歯が下の前歯に出ていて、なおかつ前方(唇側側)に歯が傾いているのであれば、「舌癖」の可能性があります。(下が正しい位置で留まっていない)
舌癖についてはこちらの記事に記載しておりますので、ご確認ください

すきっ歯のマウスピース型矯正装置による矯正治療とは

原因によって考えて、治療計画は変わっていきますが、基本は開いている状態から閉じる方向に矯正治療を行なっていきます。開いている原因を除去しないといけないケースは原因を除去して動かしていきます。
(例:噛み合わせが深くて突き上げているすきっ歯であれば、突き上げている歯を下げてからすきっ歯を閉じる)


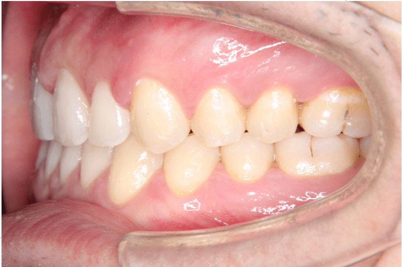
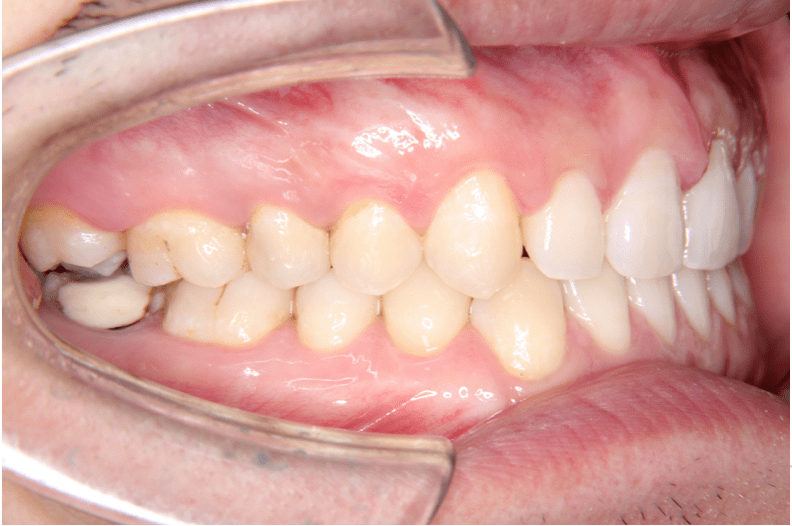
治療後(右)


治療後(正面)


治療後(左)


上下開いていた症例ですので、下を閉じてから上を閉じる計画を立てました。


症例情報:

【患者】 20代男性
【主訴】 前歯のすき間がきになる。
【診断】 空隙歯列
【抜歯の有無】 非抜歯
【治療期間】2年0ヶ月 通院回数15回
【治療内容】親知らずを抜歯した後、マウスピース型カスタムメイド矯正歯科装置(製品名インビザライン 完成物薬機法対象外)を使用して主訴である叢生の改善を行いました。
【費用】88万(税込)
【リスク】矯正歯科装置を付けた後しばらくは違和感、不快感、痛みなどが生じることがあります。
矯正中は矯正歯科装置が歯の表面についているため食物が溜まりやすく、また歯が磨きにくくなるため、虫歯や歯周病が生じるリスクがあります。
歯を動かすことにより歯根が吸収して短くなることや歯肉がやせて下がることがあります。

矯正歯科治療は公的健康保健の適応外の自費治療(自由診療)となります。

最後に

歯のガタガタ(叢生)と違い、すきっ歯だと口腔内に影が入って審美的に気になる方も多いと思います。
原因を見極め適切な治療計画を立案すれば、治療することが可能です。
またマウスピース型矯正装置による矯正治療は、隙間が空いている歯の移動が行いやすいです。

当院では初診矯正相談を行っております。
口腔内スキャナーも最新機器が導入され、より高速でスキャンが行えるようになりました。いつでもご相談ください。

無料メール相談はこちらから

初回無料カウンセリングはこちらから