BLOG

子どもの矯正治療

森本洋孝 矯正歯科医


本日は小児の患者様へのインビザライン、「インビザライン・ファースト」についてご説明させていただきます。

【目次】
インビザライン・ファーストとは
インビザライン・ファーストの適応となる歯並び、年齢、治療期間は
インビザライン・ファーストの目的は
最後に

インビザライン・ファーストとは

インビザライン・ファーストは、小学生のお子様向けに2019年3月に日本で販売が開始された製品です。
成長期にある小学生のお子様に特化した治療の進み方、お子様に特化した歯につけるアタッチメントデザインを駆使して良好なお口の発育を促します。



アライナーの作製方法は大人の治療法と同じで、iTeroというスキャナーを用いて口腔内をスキャンし、デジタルデータで矯正治療を行っていきます。当院は最新の口腔内スキャナー「iTero 5D plus」を導入しております。

従来の粘土に似た歯型とりでは気持ち悪くなってしなうお子様でも、口腔内スキャナーだと短時間で綺麗なお口のスキャニングを行うことができます。

インビザライン・ファースト適応の歯並び、年齢、治療期間は

6歳臼歯と呼ばれる奥歯の永久歯が生えていて、前歯にも永久歯がある「混合歯列(こんごうしれつ)」の状態の歯並びが適応となります。ざっくりの年齢だと7〜11歳くらいの歯並びのお子様が対象となります。
(小Ⅱ期において実際の年齢と歯の交換状態(歯齢)については個人差がとても大きく、1年前後する方がいらっしゃいます。上記の年齢と異なっていても適応の歯並びの可能性も高いですので、お気軽にご相談ください
また、インビザライン・ファーストの治療期間は最大で18ヶ月です。

インビザライン・ファーストの目的は

混合歯列期(こんごうしれつき)と呼ばれる状態のお子さんを、治療させていただくにあたって最重要視しているのは、「全ての永久歯がしっかり生えうるスペースを確保すること」です。



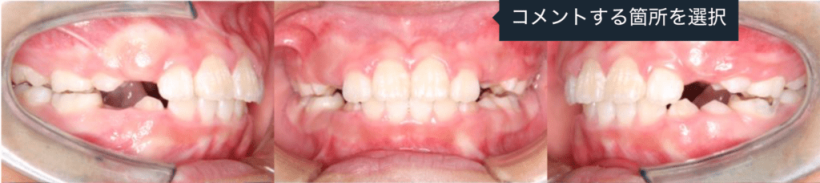
先日インビザライン・ファーストの発表を行いました。そのスライドの1部分です。

永久歯は基本的に乳歯より大きい歯ですので、乳歯列で隙間なく綺麗に並んだ歯並びでは、生え変わりが進むと将来的にガタガタになる可能性があると考えられます。混合歯列期の状態で既に歯が重なっている状態だとさらに悪くなる可能性があります。
また適切な位置に生えてこなかったり、そもそも生えてこないということにならないためにも、永久歯の生えるスペースの確保が必要ですので、歯列の拡大を行います。


犬歯(3番目の歯)のスペースがなかったのでインビザラインファーストを用いてスペースを作りました。
また噛みやすいように他の歯も排列し直しています。
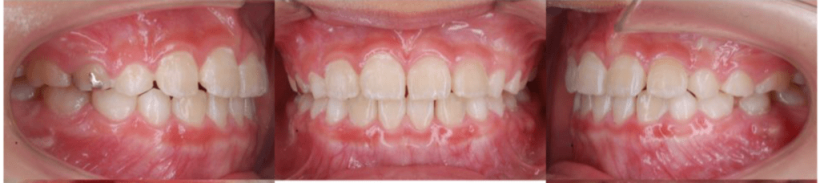
良好な顎間関係を獲得するために上下の前歯の位置が大きく離れている上顎前突(じょうがくぜんとつ いわゆる出っ歯)や、噛み合わせが深い過蓋咬合(かがいこうごう)などの、将来このまま成長すると良くない歯並び対して治療を行います。



上顎前突と過蓋咬合が合わさったお子様に治療をさせていただきました。
また、今後の成長発育に支障をきたす現時点での問題の除去も行います。見た目に直結していることも多いので、審美的改善も同時に行われることが多いです。



前歯の反対咬合(はんたいこうごう)を早期に改善しました。
上の写真のように、前歯が逆になっている状態を反対咬合(はんたいこうごう)と言います。逆のまま成長を続けていくと正常な顎の発育は起きにくいと判断できます。また、反対になっている下の前歯にも、歯茎が下がったりの影響を及ぼします。

複数の原因があって歯列不正という結果になります。それらの原因を改善して綺麗な歯並びになるように治療していくのですが、その状態が綺麗だったとしても乳歯は抜けていくので、先々を考慮した治療計画を立てる必要があると考えています。

最後に

上記のように、インビザライン・ファーストは、適切な口腔発育に向けてアプローチすることができます。
ただし、乳歯の生え変わりや成長発育に差がありますので、今すぐ矯正治療を開始する方、一旦永久歯が生えてくるのを待ってから開始する方と、ご相談いただいた時点から適切な介入時期を提案させていただいております。
「子供の間に矯正治療を行っていれば、将来大人の矯正治療が不要になる」というわけではありませんが、将来大人の矯正治療を行う際に、治療が困難になるケースを、事前にアプローチすることで簡素化したり、お子様の口元の見た目や機能の維持改善向上を図ることができます。

インビザライン・ファーストについて書かせていただきました。この記事を書かせていただいた森本は、インビザライン・ファーストの症例でインビザライングローバルギャラリーに選出されました。(日本人2人目)



当院の歯科医師は、全員ワイヤー矯正を経てインビザライン矯正に取り組んでおります。
また当院に勤務しているスタッフは全員歯科衛生士で、専門のトレーニングを積んでおります。

当院に勤務する歯科医師はインビザラインファカルティ(全国で20数名)が2名在籍し、インビザラインワールドギャラリーに選出された歯科医師が2名在籍しております。

当院では矯正相談は無料で行なっております。お子様が今の時点でどのような歯並びなのか、今後どのようになるのか、適切な介入時期などをご説明させていただきます。また、日曜日も診療を行なっております。お気軽にご相談ください。

無料メール相談はこちらから

初回無料カウンセリングはこちらから