column

歯列矯正の基礎知識

【監修医:矯正歯科学会 認定医&指導医 増岡 尚哉


八重歯に悩まれていませんか?可愛らしい印象もある八重歯ですが、歯並びや咬み合わせに影響したり、歯磨きしづらいことで虫歯や歯周病のリスクを高めてしまったりすることもあります。

八重歯はマウスピース矯正の1つであるインビザラインでも矯正治療が可能です。インビザラインの大きな特徴は矯正治療を行っていても目立たないことです。

今回は、「インビザラインによる治療症例」や「インビザラインによる治療の流れ」などについてご説明いたします。

【目次】
1.インビザラインで行う八重歯治療の特徴
2.インビザラインによる八重歯の矯正治療症例
 2-1インビザラインによる八重歯の矯正治療の流れ
3.八重歯矯正は経験と実績のある当院へ!ぜひご相談ください!

インビザラインで行う八重歯治療の特徴

▶非抜歯での治療も可能
インビザライン(マウスピース矯正)により八重歯の歯列矯正を行う場合に、奥歯を後ろ側に動かして歯を動かすスペースを作ることがあります。これを「歯の後方移動」と言います。インビザラインは、この「歯の後方移動」を行うことにおいて非常に優れています。そのため、歯並びの状態によっては抜歯を必要とせず八重歯を改善できる場合があります。
ただし、「歯の後方移動」は歯の根っこが埋まっている骨(歯槽骨:しそうこつ)の部分までしか動かすことができないため、親知らずが後方移動の妨げになる場合は、親知らずの抜歯が必要になることもあります。また、歯に影響のない範囲で歯の側面を削ってスペースを確保する方法(IPR)と後方移動を一緒に行なって八重歯を改善する場合もあります。

▶歯の動きが緩やかで痛みを感じにくい
ワイヤー矯正では、歯の面に装置を装着するため、その装置が口の中の粘膜や唇に接触すると傷がついてしまうことがあります。そうすると、口内炎ができてしまう原因にもなります。インビザラインでは、マウスピースを装置として使用するため、口の中が傷つくことがなく、装置への違和感も比較的少ないです。
また、インビザラインでは1つのマウスピースにより歯を動かす量は約0.25mmで少ないです。そうすると矯正期間が気になるかもしれませんが、自分でマウスピースを交換して治療を進めることができるので、矯正期間はワイヤー矯正とほとんど変わりません。緩やかな力で段階的に歯に力をかけるので、比較的痛みも少ないです。

▶透明なマウスピース型装置で目立ちにくい
インビザラインでは透明なマウスピース型装置を使用します。そのため、矯正装置が目立ちにくく、近くで見てもほとんど気づかれません。矯正治療と聞くと、金属の装置を歯の表面に装着するイメージがあり、見た目を気にされる方が多くいらっしゃいます。普段の生活はもちろん、お仕事などで人前に立つことが多い方でも、見た目を気にせず矯正治療が行えるのは、インビザラインの大きな特徴と言えます。

▶お口や装置のケアがしやすい
インビザラインは透明なマウスピース型装置を使用するので、取り外しも可能です。食事や歯磨きの際は、取り外して通常通り行うことができます。また、マウスピース型装置のお手入れもしやすく、取り外して軽く歯ブラシで磨いたり、洗浄液でつけ置きしたりすることも可能です。約2週間毎に新しいマウスピースに交換するので衛生的に使用できます。
矯正治療期間は基本的に数年かかるので、その間お口の中や装置を衛生的に保ちやすいと、虫歯や歯周病などのリスクも低くなり、お口の健康も保ちやすくなります。

▶金属アレルギーの心配がない
インビザラインで使用するマウスピース型装置は、医療用プラスチック製で金属は使用しません。そのため、金属アレルギーの方でも心配なく矯正治療を行うことができます。

インビザラインによる八重歯の矯正治療症例

当院で実際に行った、インビザラインによる八重歯の矯正治療をご紹介いたします。

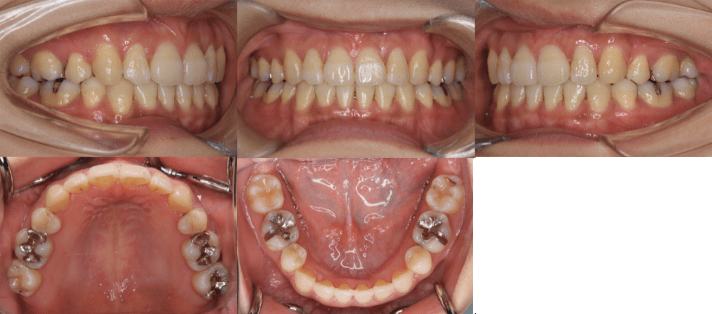
<治療前>


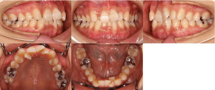
<治療後>


  • 初診時年齢:25歳7ヶ月
  • 主訴:前歯のガタガタ
  • 診断:交叉咬合を伴う叢生症例
  • 治療内容:小臼歯4本を抜歯した後、インビザラインを使用して主訴である叢生の改善を行いました。
  • 治療期間:2年
  • リスク:矯正治療による歯の移動に伴う痛み、歯根吸収、虫歯
  • 費用:80万円

無料メール相談はこちらから

インビザラインによる八重歯の矯正治療の流れ

当院での矯正治療の進め方についてお伝えします。

  1. 初診時に行うカウンセリング(無料にて実施中)
  2. CTやセファログラムによる精密検査
  3. 歯の型どり・口腔内写真撮影
  4. 診断と治療計画のご説明
  5. 矯正費用のお支払い・矯正装置の発注
  6. 治療開始
  7. 治療終了
  8. リテーナーを使用して保定

[1]初診時に行うカウンセリング(無料にて実施中)
最初に、歯並びや咬み合わせなどのお口のお悩みについてお聞かせください。

個々に合った矯正治療方法を提案させていただくには、まずお口の状態を確認することが必要です。当院では初診カウンセリングにより行える範囲で口腔内写真撮影やお口の状態の確認を行った上でカウンセリングを実施しております。

歯列矯正治療での再治療やセカンドオピニオンについても対応していますので、その場合は他院を受診された際の診断結果や過去に受けた治療などについて確認させていただきながら、治療方法についてご提案させていただきます。

矯正治療が初めての方にも、治療で改善される症状やそれに伴うリスクなど、事前に知っていただきたいことについても詳しくご説明させていただきます。治療内容以外にも費用やお支払い方法について資料をお渡ししてお伝えいたします。

※遠方から来院される方や治療開始を急がれる方へ
なるべく来院回数を少なくしたり、早めに治療を始められるように、初診カウンセリングと一緒に精密検査も同じ日に行うことも可能です。その場合は、初診カウンセリングと精密検査の予約をお取りしますのでスタッフにお声かけください。

[2]CTやセファログラムによる精密検査
口腔内の検査では、お口の写真撮影、レントゲン撮影、虫歯・歯周病検査などを行います。矯正治療では、さらに詳細にお口の情報が必要になるため、CTやセファログラムなどの専門的な機械を使用します。

CT撮影では、3次元的に1歯1歯の歯槽骨部分(歯を支える骨)、歯の根っこ部分を確認できます。矯正治療で動かす部分は、歯の根っこ部分であるため、歯の頭部分(歯冠)から歯の根っこ部分(歯根)の状態を確認した上で、事前に3次元的な歯の位置や傾きなどを把握しておくことが必要です。

セファログラムとは、矯正治療専用のレントゲン写真で、矯正治療の中では特に重要な機械でもあります。セファログラムでは、頭部・顔面を横向きから撮影することができます。前歯の傾きや、上下の顎のズレなどを数値化して診ることも可能であり、歯の移動距離や症状の程度から治療の難しさなども判断できます。治療の進み具合を診る際にも、改善度合いを数値で確認することができます。

[3]口腔内写真撮影・歯の型どり
口腔内写真撮影では、口の中、口元、お顔のカラー写真を撮影します。矯正治療では、歯並びを整えるだけでなく、お顔と歯並びとのバランスも大切になるため、これらの写真が必要です。お顔の写真は、通常の状態と笑った状態の写真をカラー写真で記録します。レントゲン写真とカラー写真どちらかがあればいいんじゃないかと思われるかもしれませんが、お顔と歯並びのバランスはレントゲン写真では写し出すことができません。撮影のタイミングは、治療前、治療中、治療後で、治療の経過を記録として残していきます。

歯の型どりは、3D口腔内スキャナーを使用して行います。カメラが内蔵されている専用機械を口腔内に入れ、様々な角度から歯並びや歯の形を読み取ります。読み取った画像はパソコンにデータ化して記録されるので、大まかなシミュレーションであればその日のうちに作ることもできます(歯並びがどのくらい改善されるかイメージしやすいです)。治療に必要となる詳細な治療計画については、事前に行った全ての検査結果を組み込んで立案する必要があるため、1ヶ月程の期間が必要です。

3D口腔内スキャナーで取り込んだ歯型のデータを、インビザラインを開発したアライン・テクノロジー社(アメリカ)に送ります。その後、マウスピース矯正装置の設計案がデータとして送られてきます。この設計案をもとにして、さらに患者さんのお口に合うように、担当歯科医師が調整を繰り返しながらマウスピース矯正装置を完成させます。

[4]診断と治療計画のご説明
事前に行った検査による診断結果のご説明と、治療の進め方についてご提案します。

具体的には、
◎「矯正治療前に必要な治療」
虫歯や歯周病などがある場合、それらの治療を優先して行います。矯正におけるスペース確保のための抜歯も矯正治療前に行います。

◎「歯の移動方法」
歯を動かす順番や、捻れや傾きのある歯の動かし方などを具体的にお伝えします。

◎「アタッチメントの形・接着数・接着位置」
アタッチメントとは、歯の表面に接着する白い突起です。目立ちにくいものです。マウスピース型装置では動きにくい歯でも、アタッチメントが補助的な役割を担うため、歯が動きやすくなります。アタッチメントの形状によっても歯の動きが異なるので、形状も細かく決めていきます。

◎「IPRや抜歯治療の必要性」
矯正治療では、歯を動かすスペースが足りない場合に、抜歯を行ってスペースを確保することがあります。また、複数の歯の側面を歯に影響のない範囲で削ってスペースを確保するIPRと呼ばれる方法を行うこともあります。これらの処置を行う場合は、事前にお伝えしております。

◎「治療に要する期間」
治療計画を立てると、具体的な治療期間も割り出すことができます。ただし、歯の動きやすさによって治療期間が変わってくることもあります。

◎「矯正治療後の歯並び」
動画を使用したシミュレーションにより、治療中の歯の動きから治療完了後の歯並びの状態まで確認していただけます。矯正治療を具体的にイメージしやすいと思います。

これらの治療内容にご理解いただき、治療を始められる方には、ご契約と矯正費用のお支払いについてご説明いたします。

[5]矯正費用のお支払い・矯正装置の発注
ご契約書類に必要事項をご記入いただき、お支払い手続きを完了していただけましたら、矯正装置の発注を行います。
発注後約1ヶ月くらいで装置が医院に届きます。装置の適合具合、取り外しの仕方、ケア方法、交換する間隔などを説明させていただくため再度来院していただきます。

[6]治療開始
矯正治療では、担当歯科医師の指示に従うようにしましょう。もし難しい場合は、前もって歯科医師に相談しておくことが大切です。

1、装置装着時間の目安は1日20時間
朝昼晩の食事と歯磨き以外は、ほとんどの時間を装置を装着している状態になります。マウスピースを装着していると、歯に対する唾液の循環が通常より悪くなることもあり、その場合は汚れが付着しやすくなるため、歯磨きの際はより丁寧に行うように心がけましょう。

2、装置交換はご自身で行えます
マウスピース型矯正装置の交換は、個人差はありますが基本的に1週間~2週間間隔です。マウスピースを交換することで少しずつ歯が動いていきます。スマートフォンのスケジュール機能を使用するなどして、忘れず交換するようにしましょう。

3、担当歯科医師による定期的なチェック
ご自身で、装置の交換が可能なため、通院回数は比較的少ないです。約1ヶ月~3ヶ月間隔で来院していただきます。担当歯科医師が装置の状態や使用方法、歯の移動具合、お口の中の状況を診ます。アタッチメントの装着やIPRでの処置が必要な場合はこのタイミングで行います。

事前に綿密な治療計画を立てていますが、歯の動きには微妙なズレが生じることがあります。その場合は、リファイメントといって追加調整を行い、本来の治療目標に向かって進めることができるように修正していきます。

[7]治療終了
予定していた枚数のマウスピース型矯正装置の交換が完了したら、担当歯科医師による最終確認が行われます。この際、歯並びや咬み合わせの状態をチェックし、改善が確認できれば治療終了になります。治療終了後は、保定装置の装着が必要です。

[8]リテーナーを使用して保定
リテーナーとは、矯正治療で改善した歯並びが元に戻ることを防止する装置です。リテーナーの装着期間は、矯正治療期間と同じくらいの期間になります。最初はほぼ1一日中装着する必要がありますが、様子を見ながら徐々に装着時間は減らすことができ、最終的には夜寝ている時のみの装着になります(個人差があります)。リテーナーの使用も担当歯科医師の指示に従い使用するようにしましょう。

再度、歯を動かす治療が必要になった場合は、追加の装置が必要になることもあるので、追加費用がかかることもあります。

八重歯矯正は経験と実績のある当院へ!ぜひご相談ください!

歯列矯正治療での医院選びでは、歯科医院の症例実績も医院選びのポイントの1つになります。それは担当歯科医師の技術や経験値によっても矯正治療は左右されるからです。事前の診断、治療計画の立案、治療計画とのズレが生じた場合の調整など、あらゆる面で、歯科医師の技量が試されます。

症例実績においては年間50症例以上、難易度の高い症例では年間100症例以上の医院であれば、安心して治療を受けられる1つの基準となります。

当院の年間症例数は1,200件以上の実績があります。経験と実績により、安心と信頼を築き上げてきました。八重歯はもちろん歯並びでお悩みの方は、ぜひ当院へご相談ください。無料カウンセリングも随時実施しておりますので、お気軽にお問い合わせください。

無料メール相談はこちらから