その他 矯正装置との比較

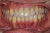
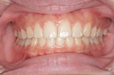
舌側矯正とは?


矯正装置を歯の裏側に付けるので、他の人から装置が見えることが少なく、審美性に優れています。裏側の矯正装置は精密な歯の型からカスタムメイドで作られるため、精密な治療が可能です。裏側の装置はどうしても舌が当たってしまい発音しにくかったり、食事が取りにくいといったデメリットがあります。また、上の歯の裏側は鏡を使っても自分では見ることのできない場所なので、歯みがきが難しく、時間を掛けて磨く必要があります。また、 治療費に関しては唇側からの矯正治療やマウスピース矯正に比べて高い傾向にあります。


舌側矯正のメリットデメリットとは?


最近の裏側の矯正装置は舌を切ってしまうようなことは減りました。ただ、通常の表側の装置と比較して、複雑な金具が裏側にありますので、どうしても舌が裏側の矯正装置に当たりやすいので、表側の矯正装置と比べて、口内炎になりやすかったりします。
その他にも発音がしにくいですとか、慣れるのに多少時間がかかります。


舌側矯正を選ぶ人は?


以下の方が舌側矯正を選択されています。


  • 絶対に矯正治療をしていることを隠したい方
  • 費用は高くてもOKという方
  • 口腔内の管理(歯磨き等)がしっかりとできる方
  • 取り外しできるタイプの矯正装置は面倒だという方

歯の裏側に装着する「舌側矯正」(ブラケット装置)


特徴は、目立ちにくい歯の裏側に装着できることです。

  • 通院間隔は、1ヶ月に1度程度。
  • 費用は、歯の表面に装着するブラケット装置に比べ、高くなります。
  • 食事は、制限があります。
  • 歯の裏側に装着しているので、歯の表面に装着しているより歯みがきが難しくなります。

歯の表面に装着する「唇側からの矯正治療」(ブラケット装置)


特徴は、ほかの矯正治療に比べ、費用を安く抑えることができます。

  • 通院間隔は、1ヶ月に1度程度。
  • 見た目は、目立ちます。
  • 食事は、制限があります。
  • 歯みがきは、手間がかかります。

マウスピース型装置


特徴は、装着していても目立ちにくく、また取り外しできることです。

  • 通院間隔は、2~3ヶ月に1度程度。
  • 費用は、少し高くなります。
  • 食事は、マウスピース装置を外して、普段通り食べることができます。
  • 歯みがきは、マウスピースを外して、普段通り磨くことができます。

ご自身がどの装置で矯正治療をしたら良いか歯科医師と相談されたい方は、初診カウンセリングをご利用ください。

初診カウンセリング